太阳成tyc122cc
当前位置: 首页 > 就诊指南 > 常见眼病新闻 > 正文

糖尿病黄斑水肿有这三种 医治方式

作者:未知 2017-08-22 16:20:44
字体大小:
【导读】作为糖尿病眼部较重要的眼部并发症,糖尿病黄斑水肿是主要的致盲性眼病之一。其病理是由于糖尿病损害眼底的小血管、微血管,导致渗出增加,血液渗透到视网膜里面去,此时黄斑区就会发生水肿,极易导致黄斑区感光细胞...

  作为糖尿病眼部较重要的眼部并发症,糖尿病黄斑水肿是主要的致盲性眼病之一。其病理是由于糖尿病损害眼底的小血管、微血管,导致渗出增加,血液渗透到视网膜里面去,此时黄斑区就会发生水肿,极易导致黄斑区感光细胞的变性与死亡。


黄斑水肿医治.jpg

  什么人容易黄斑水肿?

  一般来说,年纪较大的糖尿病患者,一旦出现视力下降状况,极有可能眼底出现问题,一定要做下眼底检查,尤其是患糖尿病越久,患上黄斑水肿的可能性就会加大。而血压高、血脂异常或者是肾脏疾病也极易导致黄斑水肿。

  如何诊断黄斑变性?

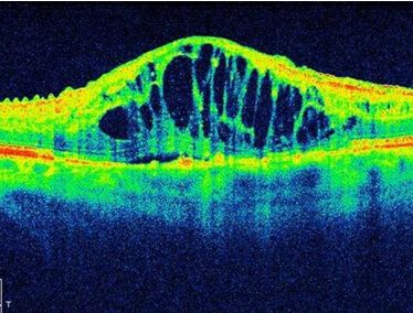
  两眼进行散瞳,再通过OCT或眼底荧光造影,查看黄斑中心凹区视网膜有无变厚,是否出现硬渗,便可精*诊断患者是否黄斑水肿。

  黄斑水肿的医治方法

  随着医学发展,对于糖尿病黄斑水肿的医治方法逐渐增多,,目前环球通用的医治方法有手术医治、药物医治和激光医治三种方式。

  a.激光医治费用较低,而能够控制住黄斑水肿的发展,保*长时间里视力不下降。但是其隐患就是会损伤视网膜。

  b.注射抗-VEGF医治,其优点就是在对于视网膜伤害较小的情况下,矫正视力。但是其医治费用较高,而且需要长期注射,对于一般家庭而言花费较大。

  c.激素医治是三种方法中 较差的,而且眼内注射的话,容易引发青光眼等并发症,其优点就是费用较低,患者的负担会大大减轻。


如何医治黄斑水肿.jpg

  无论实施哪一种医治方式,对于糖尿病患者而言,控制自身血糖是医治的前提。而对于黄斑水肿而言,及时检查,医治得当,病情是可以得到控制,并且能够在一定程度上 。


在线咨询
返回

  • 华北地区
  • 华南地区
  • 西南地区
  • 华中地区
  • 华东地区
  • 西北地区
  • 东北地区
太阳成tyc122cc微信公众号 微信公众号